整形外科 Orthopaedics

ロボティックアーム支援による人工関節置換術

近年の高齢人口の増加に伴い人工関節手術の手術件数は年々増加しています。 その優れた治療効果と安定した成績から適応が拡大しており、平均健康寿命の延伸に伴ってさらなる長期成績の向上が求められています。
そこで当院では、2026年2月からより精度の高い手術治療を提供するため、ロボット手術支援システム『Mako(メイコー)』を導入します。 人工股関節全置換術(THA)、人工膝関節全置換術(TKA)、人工膝関節単顆置換術(UKA)に対してMakoを用いた手術を行います。

ロボット支援手術システムの特長

CT画像をもとに作成された三次元画像で手術計画を行い、インプラントサイズ、設置位置、削る深さや角度を決定します。 THAでは骨盤をリーミングしてカップ設置する際、TKAやUKAでは骨切りを行う際にロボティックアームが術者をサポートします。 術前計画にはない角度や深さを削ろうとすると制御がかかり、ロボティックアームが止まるシステムになっています。 身近なものに例えると車の自動ブレーキのようなもので、計画通りの手術を行うことが可能となりました。

  • CT画像をもとに作成した三次元像を用いた手術計画

THAでは脱臼リスクを大幅に低減し、動作制限のない股関節を再建できます。 また、TKAやUKAでは関節の硬さを加味した患者本来の膝の動きで、良好な可動域を得ることができます。 ロボット支援手術は安心・安全、正確に手術を行うための手術支援デバイスとなります。 Makoを用いた人工関節手術を希望される患者さんがいらっしゃいましたら、当院へご相談ください。

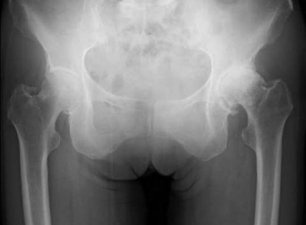
  • 変形性股関節症 (術前)

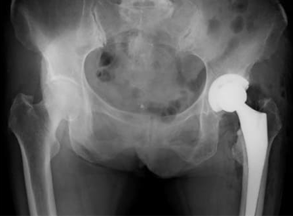
  • 術後のレントゲン像

手術の流れ

膝関節の場合

手術は膝関節の前面の皮膚を切開しておこないます。

  • CT検査の情報と実際の骨を照合して骨を削る位置を確認します。

  • ロボティックアームを用いて骨の表面を削ります。

  • 膝蓋骨(膝のお皿)も手術する場合があります。

  • 各インプラント部品を設置します。

  • 人工膝関節の設置が完了しました。

股関節の場合

手術は股関節のやや後方、または外側、あるいは前方の皮膚を切開して行います。

  • 骨頭を切除し、大腿骨の内側を整えます。

  • ロボティックアームを用いて骨盤(臼蓋)の表面を整えます。

  • ロボティックアームを用いてインプラントを設置します。

  • 大腿骨にインプラントを設置します。

  • 各インプラント部品を設置します。

  • 人工股関節の設置が完了しました。

手術イメージ動画

人工膝関節置換術CG

人工股関節置換術CG